Contrast 4

[Python 영상처리 기초 7] 이미지의 화질개선 Contrast-Brightness-Gamma - part2

앞선글 [Python 영상처리 기초 7] 이미지의 화질개선 Contrast-Brightness-Gamma - part1 에서는 주로 이미지의 brightness 개선에 주목 했다면 본 글에서는 contrast 개선을 다루겠습니다. 앞서 언급했듯이 brightness와 contrast 는 긴밀한 관계이지만 선형적인 상관관계를 갖지 않습니다. 따라서 contrast가 조정됨과 동시에 brightness가 달라질 수 있고, 반대의 경우도 가능합니다. Contrast 개선 이번에도 위의 예제 이미지의 gray scale 이미지를 바탕으로 contrast 개선에 주목하겠습니다. 위의 이미지는 본 블로그 맨밑 출처 1에 가셔서 다운로드 받을 수 있습니다. 첫 번째로 이미지 픽셀값의 normalization을 통한 ..

[Python 영상처리 기초 7] 이미지의 화질개선 Contrast-Brightness-Gamma - part1

앞서 [Python 영상처리 기초 4] 이미지의 픽셀값 다루기 - Crop, 선형연산 에서 보았듯이, 픽셀값을 증가시키면 이미지의 밝기가 밝아짐을 알 수 있습니다. import cv2 import numpy as np import matplotlib.pyplot as plt %matplotlib inline img_color = cv2.imread('national-cancer-institute-jdfn7Z03Qa4-unsplash.jpg',cv2.IMREAD_COLOR) img_gray = cv2.cvtColor(img_color,cv2.COLOR_BGR2GRAY) start_pt = [1210, 753] # [y, x-axis] or (y, x-axis), both are fine end_pt = [..

[MATLAB 영상처리 기초 7] 이미지의 화질개선 Contrast-Brightness-Gamma - part2 (Contrast Stretching)

이미지의 brightness & contrast 개선 소개 동영상 앞선글 [MATLAB 영상처리 기초 7] 이미지의 화질개선 Contrast-Brightness-Gamma - part1 에서는 주로 이미지의 brightness 개선에 주목 했다면 본 글에서는 contrast 개선을 다루겠습니다. 앞서 언급했듯이 brightness와 contrast 는 긴밀한 관계이지만 선형적인 상관관계를 갖지 않습니다. 따라서 앞의 글에서 예제 이미지의 brightness를 개선 했어도 contrast 또한 어느정도 개선이 이루어진 것입니다. 이번에도 위의 예제 이미지의 gray scale 이미지를 바탕으로 contrast stretching 을 통해 contrast 개선에 주목하겠습니다. 첫 번째로 이미지 픽셀값의 n..

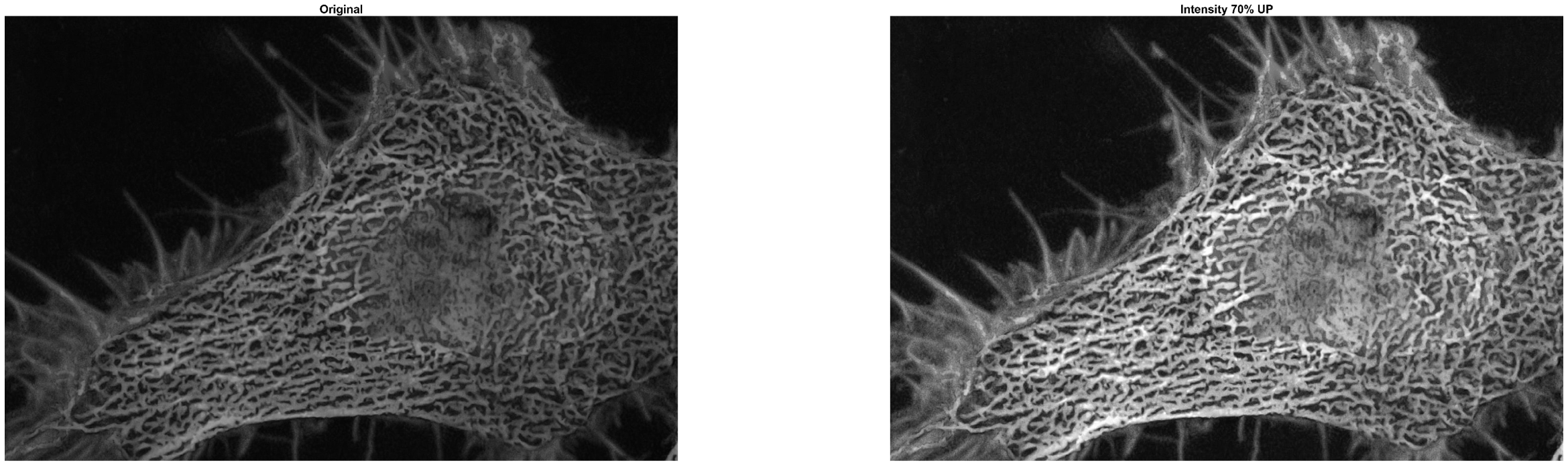
[MATLAB 영상처리 기초 7] 이미지의 화질개선 Contrast-Brightness-Gamma - part1

이미지의 brightness & contrast개선 소개 동영상 앞서 [MATLAB 영상처리 기초 4] 이미지의 픽셀값 다루기 - Crop, 선형연산 에서 보았듯이, 픽셀값을 증가시키면 이미지의 밝기가 밝아짐을 알 수 있습니다. img_gray_crop_UP = img_gray_crop .* 1.7; % intensity 70% UP 단순히 픽셀값을 증가시킨다면 이미지의 Global 픽셀값들이 증가하므로 원하지 않는 결과를 얻을 수 있습니다. 예를들어 ROI (region of interest) 의 픽셀값 분포가 높거나 낮은 intensity에 집중분포해 있다면 이 영역만을 확장시켜 주어 밝기나 컨트래스트를 개선할 수 있지만, 전 영역의 픽셀값을 증가시키면 그저 빛바랜 듯한 이미지 결과가 나오기도 합니다..